
28. 5. 2026
Jarní Blansko 2026
Naše jarní setkání se již po páté uskutečnilo v Blansku a jako vždy přineslo kombinaci společných zážitků, sdílení i inspirativního programu pro děti i rodiče.

2. 2. 2026
Muzikoterapie pro Willíky v Českých Budějovicích na Valentýna
Muzikoterapie s Danou Pšeničkovou pro nejmenší Willíky v Českých Budějovicích! Kdy? V sobotu 14.2.2026 od 10 hodin Kde: mateřské centrum Máj, Antonína Barcala

2. 2. 2026
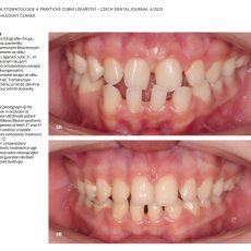
Přehledový článek Interdisciplinární stomatologická péče o pacienta s WS
V časopise Česká stomatologie a praktické zubní lékařství – Czech dental journal 4/2025 vyšel díky MUDr. Wandě Urbanové koncem minulého roku








